医护人员
张弘 医生
张春久 医生
吕美欧 医生
张弢 医生
刘飞 医生
徐虹 助手
张爽 助手
褚月 助手
徐悦 助手
潘锐 助手
杨雷 技师
鞠霏 前台
服务项目
龋洞填充
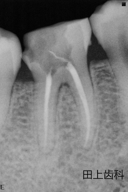
根管治疗
牙齿洁治
牙周治疗
儿童牙齿治疗
智齿拔除
儿童及成年人牙齿矫正治疗
牙齿冠、桥修复
活动义齿修复
全口总义齿修复
椅旁CAD-CAM嵌体、高嵌体、冠修复
前牙美容性修复
牙齿美白
瓷贴面
咬合重建
牙种植术
简单颞颌关节治疗
设备技术
X-光片数字传感器
ORTHOPHOS XG 3D 3合一
数字化口腔内窥镜
瓷睿刻
Global 根管显微镜
热牙胶充填
SonicFill
联系方式
付款方式
付款方式
使用语言
诊所新闻
5.24田上齿科开心之旅
田上齿科放假通知
现在位置:
根管治疗
Copyright ©2015 Tagami Dental Clinic. All Rights Rserved. 田上齿科版权所有
ICP证:辽ICP备18002403号-1